
日本人の失明原因第二位の病気です。糖により網膜の血管がダメージを受け、血管が詰まったり出血をおこします。適切な治療を行わないと、大量出血・網膜剥離・緑内障などを合併し、失明に至ります。糖尿病の期間が長いほど・血糖値が高いほど、網膜症の程度がひどくなります。

日本人の失明原因第二位の病気です。糖により網膜の血管がダメージを受け、血管が詰まったり出血をおこします。適切な治療を行わないと、大量出血・網膜剥離・緑内障などを合併し、失明に至ります。糖尿病の期間が長いほど・血糖値が高いほど、網膜症の程度がひどくなります。
網膜の出血のみでは、視力の低下はありません。目の中心がむくむ(黄斑浮腫)と、視力が低下します。
病期が進むと、硝子体に出血して黒い物が飛びます(飛蚊症)。大量に出血すると、視力が著しく低下します。見えなくなってから受診をした際には病期がかなり進んでいる可能性が高く、視力が回復しない場合があります。糖尿病と診断されたら必ず受診してください。
早期発見・早期治療が大事な病気ですので、糖尿病と診断されたら必ず受診してください。糖尿病網膜症の変化は血糖値が高い時から5~10年後におこりますので、定期的に受診していくのも重要です。
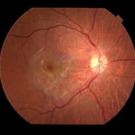
加齢黄斑変性は加齢により網膜の中心部(黄斑)にさまざまな障害が生じ、見えにくくなる病気です。喫煙や欧米化の食事により、日本人でこの病気にかかる率が増加しています。

ものがゆがんでみえたり(変視症)中心部分が見えなくなります(中心暗点)。大きな出血が生じると著しく視力が低下します。
光干渉断層計(OCT)によって網膜の断面を調べます。浮腫や新生血管を見つけることができます。短時間で検査可能です。
萎縮型は現在のところ有効な治療法はありません。
滲出型はビタミンC製剤や循環改善剤の内服薬を処方します。処方薬ではありませんが、軽度の方にはビタミンC・ビタミンE・βカロチン・亜鉛などを含んだサプリメントを飲んでいただくことをおすすめしています。
そのほかに光線力学的療法や硝子体注射により新生血管の勢いをおさえますが、なかなか治らない場合もあります。さらに、これらの治療は複数回行われるので、それなりの治療費がかかります。
これから先も増えていく病気のひとつです。軽度の加齢黄斑変性の方は、上記の症状までいかずに少し見づらい程度のことが多いです。簡単に検査できますので、ご心配の方はご相談ください。

網膜の中心部(黄斑)やそのまわりの網膜の前に線維の膜が張り、網膜にしわが寄ります。黄斑上膜・網膜上膜・網膜前膜・網膜前黄斑線維症ともいわれます。
60歳を過ぎると目の中を占めるゼリー(硝子体)が変化をおこします。その際、硝子体の一部が網膜の前に残された状態が黄斑前膜です。
ちなみに黄斑円孔は黄斑前膜と同じく、硝子体の変化により網膜が引っ張られた結果として黄斑に穴が開くことです。また、目の中の病気や外傷にて二次的に生じることもあります。
視力低下は軽度にて自覚症状がなく、健診で見つかることが多いです。膜が厚くなると、物がゆがんで見えます(変視症)。
自覚症状が軽い場合は手術のメリット・デメリットをお話し、そのまま経過をみることもあります。
ゆがみが強い場合は手術をおすすめします。

網膜の中心部(黄斑)がむくむことを黄斑浮腫といいます。
糖尿病網膜症・高血圧網膜症・網膜静脈閉塞症・ぶどう膜炎・白内障の手術後など、病気により二次的に生じます。
視力が低下します。とくに真ん中が見づらく、物がゆがんで見えることもあります。浮腫の期間が長いと治療を行ってもなかなか治りません。
浮腫の程度、タイプにより治療が異なります。症状が当てはまる方はお早めにご相談ください。

網膜の中心部(黄斑)に穴が開く状態をいいます。60歳を過ぎると目の中を占めるゼリー(硝子体)が変化をおこします。その際、網膜が引っ張られた結果として黄斑に穴が開くことがあります。ほかにも目をぶつけた際に穴が開くこともあります。
中心部分が見えなくなる(中心暗点)ことや、物がゆがんで見える(変視症)ことから、早く気づきやすいです。程度により、視力がいい方もいれば0.1くらいに低下する方もいます。
手術が必要で、点眼薬や内服薬では残念ながら治りません。このような症状をお持ちの方はお早めにご相談ください。

網膜の中心(黄斑)に小さい網膜剥離がおきる病気です。網膜剥離といっても、網膜に穴があいて剥離がおきるタイプではありません。30~50歳代の男性に多く、片目におこることが多いですが、両目のこともあります。
ストレスが原因と考えられています。ほかには、ステロイド薬を長い間使用していると発症することがあります。
網膜の下にある血管から血液中の水分がにじみ出て黄斑部にたまり、網膜剥離が生じます。
真ん中がセピア色に見えたり、暗く見えます。視力の低下はあっても軽度ですが、物が小さく見えるのでピントが合いづらい感じがします。長引く病気ではありませんが、再発を繰り返すと視力が低下することがあります。
水分を出す作用のある内服薬を処方します。病変の位置によってはレーザー治療を行います。見づらさが続くようであれば、ぜひご相談ください。
眼底検査を詳しく行うには、ひとみを開く目薬(散瞳剤)を使って眼底(網膜・視神経)だけでなく水晶体や硝子体も観察します。

日本人の失明原因第二位の病気です。糖により網膜の血管がダメージを受け、血管が詰まったり出血をおこします。適切な治療を行わないと、大量出血・網膜剥離・緑内障などを合併し、失明に至ります。糖尿病の期間が長いほど・血糖値が高いほど、網膜症の程度がひどくなります。
網膜の出血のみでは、視力の低下はありません。目の中心がむくむ(黄斑浮腫)と、視力が低下します。
病期が進むと、硝子体に出血して黒い物が飛びます(飛蚊症)。大量に出血すると、視力が著しく低下します。見えなくなってから受診をした際には病期がかなり進んでいる可能性が高く、視力が回復しない場合があります。糖尿病と診断されたら必ず受診してください。
早期発見・早期治療が大事な病気ですので、糖尿病と診断されたら必ず受診してください。糖尿病網膜症の変化は血糖値が高い時から5~10年後におこりますので、定期的に受診していくのも重要です。
加齢黄斑変性は加齢により網膜の中心部(黄斑)にさまざまな障害が生じ、見えにくくなる病気です。喫煙や欧米化の食事により、日本人でこの病気にかかる率が増加しています。

ものがゆがんでみえたり(変視症)中心部分が見えなくなります(中心暗点)。大きな出血が生じると著しく視力が低下します。
光干渉断層計(OCT)によって網膜の断面を調べます。浮腫や新生血管を見つけることができます。短時間で検査可能です。
萎縮型は現在のところ有効な治療法はありません。
滲出型はビタミンC製剤や循環改善剤の内服薬を処方します。処方薬ではありませんが、軽度の方にはビタミンC・ビタミンE・βカロチン・亜鉛などを含んだサプリメントを飲んでいただくことをおすすめしています。
そのほかに光線力学的療法や硝子体注射により新生血管の勢いをおさえますが、なかなか治らない場合もあります。さらに、これらの治療は複数回行われるので、それなりの治療費がかかります。
これから先も増えていく病気のひとつです。軽度の加齢黄斑変性の方は、上記の症状までいかずに少し見づらい程度のことが多いです。簡単に検査できますので、ご心配の方はご相談ください。

網膜の中心部(黄斑)やそのまわりの網膜の前に線維の膜が張り、網膜にしわが寄ります。黄斑上膜・網膜上膜・網膜前膜・網膜前黄斑線維症ともいわれます。
60歳を過ぎると目の中を占めるゼリー(硝子体)が変化をおこします。その際、硝子体の一部が網膜の前に残された状態が黄斑前膜です。
ちなみに黄斑円孔は黄斑前膜と同じく、硝子体の変化により網膜が引っ張られた結果として黄斑に穴が開くことです。また、目の中の病気や外傷にて二次的に生じることもあります。
視力低下は軽度にて自覚症状がなく、健診で見つかることが多いです。膜が厚くなると、物がゆがんで見えます(変視症)。
自覚症状が軽い場合は手術のメリット・デメリットをお話し、そのまま経過をみることもあります。
ゆがみが強い場合は手術をおすすめします。

網膜の中心部(黄斑)がむくむことを黄斑浮腫といいます。
糖尿病網膜症・高血圧網膜症・網膜静脈閉塞症・ぶどう膜炎・白内障の手術後など、病気により二次的に生じます。
視力が低下します。とくに真ん中が見づらく、物がゆがんで見えることもあります。浮腫の期間が長いと治療を行ってもなかなか治りません。
浮腫の程度、タイプにより治療が異なります。症状が当てはまる方はお早めにご相談ください。

網膜の中心部(黄斑)に穴が開く状態をいいます。60歳を過ぎると目の中を占めるゼリー(硝子体)が変化をおこします。その際、網膜が引っ張られた結果として黄斑に穴が開くことがあります。ほかにも目をぶつけた際に穴が開くこともあります。
中心部分が見えなくなる(中心暗点)ことや、物がゆがんで見える(変視症)ことから、早く気づきやすいです。程度により、視力がいい方もいれば0.1くらいに低下する方もいます。
手術が必要で、点眼薬や内服薬では残念ながら治りません。このような症状をお持ちの方はお早めにご相談ください。

網膜の中心(黄斑)に小さい網膜剥離がおきる病気です。網膜剥離といっても、網膜に穴があいて剥離がおきるタイプではありません。30~50歳代の男性に多く、片目におこることが多いですが、両目のこともあります。
ストレスが原因と考えられています。ほかには、ステロイド薬を長い間使用していると発症することがあります。
網膜の下にある血管から血液中の水分がにじみ出て黄斑部にたまり、網膜剥離が生じます。
真ん中がセピア色に見えたり、暗く見えます。視力の低下はあっても軽度ですが、物が小さく見えるのでピントが合いづらい感じがします。長引く病気ではありませんが、再発を繰り返すと視力が低下することがあります。
水分を出す作用のある内服薬を処方します。病変の位置によってはレーザー治療を行います。見づらさが続くようであれば、ぜひご相談ください。
眼底検査を詳しく行うには、ひとみを開く目薬(散瞳剤)を使って眼底(網膜・視神経)だけでなく水晶体や硝子体も観察します。