
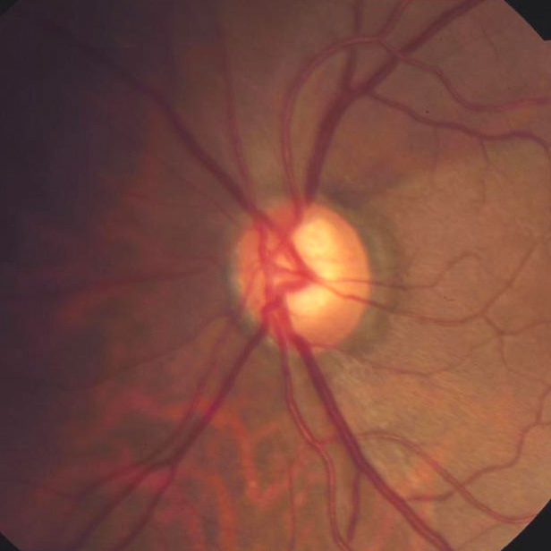
人間ドックや市の健診では通常、視力検査・眼圧検査・眼底検査(眼底写真撮影)を行います。このいずれかで異常があると「要精密検査」判定となります。

人間ドックや市の健診では通常、視力検査・眼圧検査・眼底検査(眼底写真撮影)を行います。このいずれかで異常があると「要精密検査」判定となります。
健診での検査では、裸眼・眼鏡・コンタクトレンズで「見たまま」の視力です。人によって見たい距離が違いますし、検査当日に眼鏡を持っていない人もいます。ただ、例えば眼鏡をかけても(0.1)程度しか視力が出ないなど、明らかに視力が出ていない人は「要精密検査」と判定することがあります。
眼圧の正常範囲は10~21mmHgです。それより上の値は異常であり、「高眼圧」「要精密検査」と判定されます。眼圧が高いままで過ごすと緑内障になりますので、値により点眼薬を処方します。
「要精密検査」の代表的なものとして以下のものがあります。これらは全て自覚症状がないか、あっても軽度です。だからこそ健診が重要です。
「要精密検査」と判定された方は、どうぞお早目にご相談ください。
「経過観察」と判定された場合は、正常ではないものの加齢変化であるということです。ただ、中には病気に発展する所見もありますので、受診をおすすめします。
「判定不能」は眼底写真撮影を行っても眼底がうまく映し出されなかった時の判定項目です。茶目の中心(瞳孔)が小さいことや白内障が主な原因です。「判定不能」の場合は、健診では判断できないということなので、眼底の病気の有無は分かりません。「要精密検査」ではありませんが、こちらも受診をおすすめします。

人間ドックや市の健診では通常、視力検査・眼圧検査・眼底検査(眼底写真撮影)を行います。このいずれかで異常があると「要精密検査」判定となります。
健診での検査では、裸眼・眼鏡・コンタクトレンズで「見たまま」の視力です。人によって見たい距離が違いますし、検査当日に眼鏡を持っていない人もいます。ただ、例えば眼鏡をかけても(0.1)程度しか視力が出ないなど、明らかに視力が出ていない人は「要精密検査」と判定することがあります。
眼圧の正常範囲は10~21mmHgです。それより上の値は異常であり、「高眼圧」「要精密検査」と判定されます。眼圧が高いままで過ごすと緑内障になりますので、値により点眼薬を処方します。
「要精密検査」の代表的なものとして以下のものがあります。これらは全て自覚症状がないか、あっても軽度です。だからこそ健診が重要です。
「要精密検査」と判定された方は、どうぞお早目にご相談ください。
「経過観察」と判定された場合は、正常ではないものの加齢変化であるということです。ただ、中には病気に発展する所見もありますので、受診をおすすめします。
「判定不能」は眼底写真撮影を行っても眼底がうまく映し出されなかった時の判定項目です。茶目の中心(瞳孔)が小さいことや白内障が主な原因です。「判定不能」の場合は、健診では判断できないということなので、眼底の病気の有無は分かりません。「要精密検査」ではありませんが、こちらも受診をおすすめします。